Konuyla ilgili valilikten yapılan açıklamada, Bitlis İl Emniyet Müdürlüğü Narkotik Suçlarla Mücadele Şube Müdürlüğü ekiplerince uyuşturucuya yönelik yürütülen çalışmalarda Tatvan ilçesinde yolcu otobüsünde yabancı 2 şahsın gözaltına alındığı belirtildi.
Şahısların mide ve bağırsaklarında1 kilo 48 gram metamfetamin ele geçirildiği kaydedilen açıklamada şu ifadelere yer verildi:
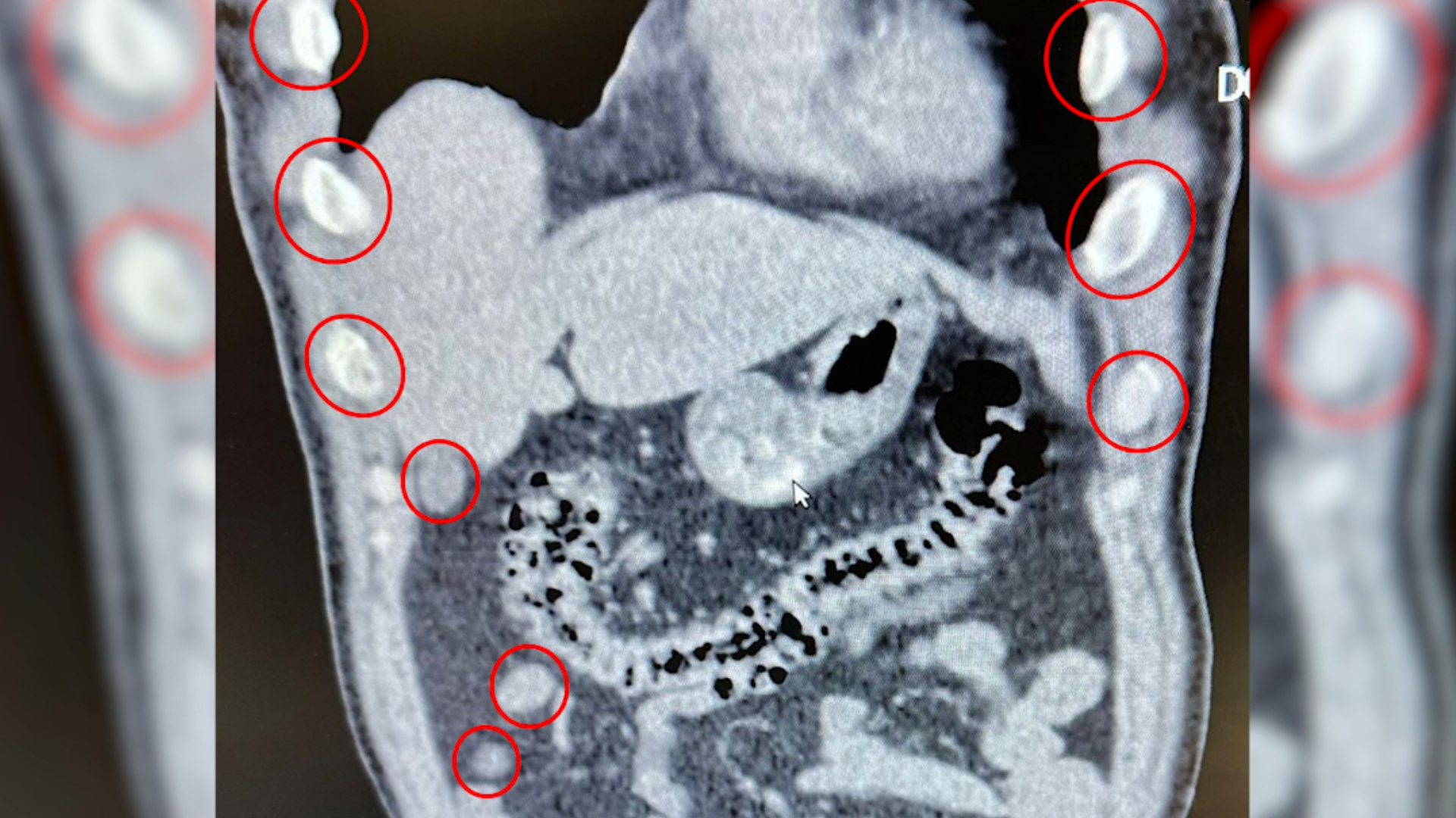
“Bitlis İl Emniyet Müdürlüğü Narkotik Suçlarla Mücadele Şube Müdürlüğümüzce uyuşturucu ile mücadele kapsamında yapılan çalışmalarda; Tatvan ilçemizde durdurulan bir otobüste yolcu olarak seyahat eden yabancı uyruklu 2 şahıs gözaltına alınmıştır. Gözaltına alınan ve Tatvan Devlet Hastanesine sevk edilen şahısların röntgen ve tomografi görüntülerinde mide ile bağırsaklarında çok sayıda yabancı cisim bulunduğu tespit edilmiştir.Yapılan tıbbi müdahale ile şahısların yuttuğu 136 kapsül olmak üzere toplam 1 kilo 48 gram Metamfetamin maddesi ele geçirilmiştir. Uyuşturucu Madde İmal ve Ticareti suçundan gözaltına alınan 2 şahıs çıkarıldığı adli mercilerce tutuklanmıştır. Hemşehrilerimizin huzuru ve güvenliği için uyuşturucu madde imalatı, kaçakçılığı ve kullanımına karşı yürütülen kararlı mücadelemiz devam edecektir.”







